歯並びをきれいにしたいと来院された、高校生の患者様です。
費用を抑えて、できるだけ短期間での治療をご希望でした。
ご要望にお応えするため、インビザラインGO(マウスピース矯正)をご提案させて頂きました。
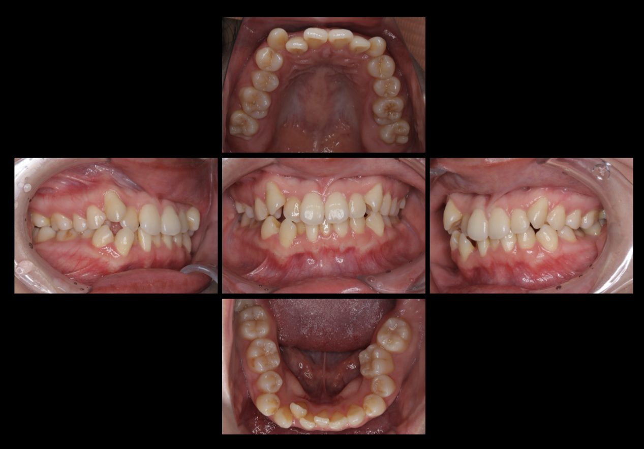
初診時の口腔内及びスマイル写真です。


中等度の歯列不正と前歯の正中の傾きがあります。
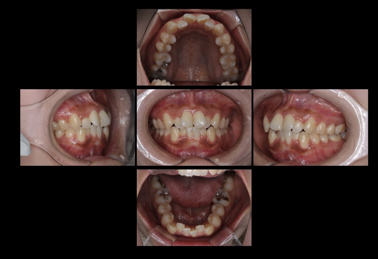
治療が終了した時の写真です。



歯列不正も無くなり、正中の傾きも改善され口元がスッキリしました。
卒業式までに治療を終わることができたのでよかったです。と満足して頂きました。
| 年代・性別 | 20代・女性 |
| 主訴 | 歯並びを直したい |
| 治療内容 | マウスピース矯正 |
| 費用 | ¥450,000 |
| 期間 | 10ヶ月 |
| リスク・副作用 | ・歯の移動に伴う痛みがある場合がございます。 ・装着方法や装着時間が適切でない場合、計画通りに歯が移動しない可能性があります。 |
関連記事
2026.02.21
2025.12.26
2025.12.26
2025.07.23
